以犬得心丝虫病是一种由蚊虫传播的致命疾病,常见于热带和亚热带地区。这种寄生虫侵入宿主体内后,会定居在宿主的心脏和肺动脉中,造成严重的心血管系统疾病。本文将揭秘这个致命的沉默之灾,探讨其致死原因以及预防关键。

1.寄生虫的传播途径及病原体介绍:

描述以犬得心丝虫病的传播途径,并对导致疾病的寄生虫进行简要介绍。
2.潜伏期:无声的威胁
详细阐述以犬得心丝虫病的潜伏期,即从感染到出现明显症状的时间间隔。

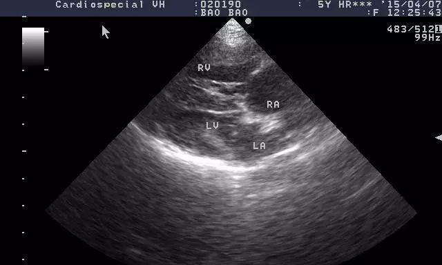
3.病程进展:隐形的破坏
描述疾病在宿主体内的进展情况,包括心脏和肺动脉的破坏程度。
4.病症表现:丧失活力与呼吸困难
详细描述以犬得心丝虫病宿主出现的症状,如乏力、体重下降和呼吸困难等。
5.病情恶化:威胁生命的阶段
阐述疾病在进一步恶化时对宿主生命的威胁,包括心衰、肺水肿和腹水等。
6.死亡原因分析:心脏功能衰竭与呼吸困难
分析以犬得心丝虫病导致死亡的原因,包括心脏功能衰竭和呼吸困难等。
7.诊断与治疗:早期发现与有效干预
探讨以犬得心丝虫病的诊断方法和治疗手段,并强调早期发现和干预的重要性。
8.预防措施:避免致命的威胁
介绍以犬得心丝虫病的预防措施,包括定期使用心丝虫药物、避免蚊虫叮咬等。
9.重点防治地区:热带与亚热带地区的高风险
强调疾病在热带和亚热带地区的高发地区,以及这些地区应采取的重点防治措施。
10.人类感染风险:潜在的公共卫生问题
探讨以犬得心丝虫病对人类的感染风险,以及可能引发的公共卫生问题。
11.宠物饲养建议:保护家中忠实伙伴的健康
提供饲养宠物时的建议,包括定期体检和使用心丝虫预防药物等。
12.教育宣传:增强对以犬得心丝虫病的认识
强调提高公众对以犬得心丝虫病认识的重要性,推动教育宣传工作的开展。
13.全球范围:威胁不容忽视
探讨以犬得心丝虫病在全球范围内的分布情况和威胁程度。
14.研究进展:寻找更有效的预防和治疗方法
介绍以犬得心丝虫病相关的研究进展,包括新药物和疫苗的开发等。
15.合力抗击以犬得心丝虫病
全文内容,强调合力抗击以犬得心丝虫病的重要性,并呼吁公众积极参与预防工作。
结尾:以犬得心丝虫病是一种致命的沉默之灾,它带来的破坏和死亡不容忽视。只有通过加强教育宣传、定期体检和使用预防药物等措施,我们才能有效预防和控制这种疾病的传播,保护宠物和人类的健康。同时,科学研究也为我们寻找更有效的预防和治疗方法提供了希望。让我们合力抗击以犬得心丝虫病,创造一个更健康的社会。